Living with Neck Pain?

Take the first step toward relief.

Overview

1 in 3 people experience neck pain at least once a year. Without treatment the frequency of neck pain can increase over time. Chiropractic care can help you find relief from neck pain and get back to doing the things you love.

Dr. Shawn Sing | Chiro One of New Lenox, IL

Common Symptoms Associated with Neck Pain 

The most common symptoms of neck pain are:

  • Pain that worsens when you hold your head still for long periods (such as when driving or using a computer or device)
  • Muscle spasms and tension
  • Pain when moving your head
  • Limited mobility/ability to move your head
  • Headaches

Is Your Neck Pain Chronic Pain? 

Doctors categorize neck pain in these three ways:

  • Acute neck pain: this is pain which comes on suddenly and usually lasts a few days to a few weeks
  • Subacute neck pain: this type of neck pain can appear suddenly or over time, and has been present 4 to 12 weeks (about 3 months) at the time of diagnosis
  • Chronic neck pain may come on quickly or slowly, lasts longer than 12-weeks, and occurs daily – to the point of disrupting your life

Chiropractic care is effective for treating pain at all stages – acute, subacute, and even chronic pain.

Common Causes

Common Causes of Neck Pain 

Your neck is extremely important – in addition to supporting the weight of your head, many important structures live in and around your neck which can make injury and pain conditions more common than in other parts of the body. Some of the most common causes of neck pain, which our chiropractors treat, include:

Overuse – such as too many hours hunched over a screen- can trigger muscle strains. Even small habits, such as reading in bed, can strain neck muscles.

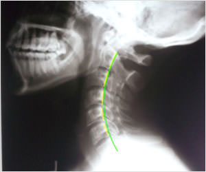
Neck pain almost always has an underlying postural correlation. Poor posture strains your neck muscles and stresses and/or misaligns your spine which can result in pain, creating acute or chronic issues requiring treatment.

Like any other joint, neck joints can show wear at any age with overuse or imbalances. In response, your spinal discs can start to degenerate and the body often forms bone spurs that can affect joint motion and can contribute to pain.

Herniated discs or bone spurs in the vertebrae of the neck can interfere with nerves branching out from the spinal cord.

Commonly sustained during auto accidents, whiplash is the most common neck injury, where the head jerks backward and then forward, straining the soft tissues of the neck.

The inflammation associated with RA can be a source of pain and can also impact your mobility.

Risk Factors

Common Risk Factors for Neck Pain  

While neck pain can happen to anyone, there are several factors that can put you at risk for experiencing neck pain.

Icon - Poor Posture

Poor Posture

Icon - Improper ergonomics  

Improper ergonomics  

Icon - Obesity

Obesity

Icon - Smoking

Smoking

Icon - Generally poor health

Generally poor health

Icon - Inactivity/lack of exercise 

Inactivity/lack of exercise 

Icon - Extended sitting or standing

Extended sitting or standing

Icon - Accidents & Injuries 

Accidents & Injuries 

When to Seek Treatment

When to Seek Treatment for Neck Pain 

While we believe all pain should be evaluated, neck pain that checks these boxes could be serious, and is likely to require care. Consult a doctor if your neck pain:

  • Is severe
  • Persists for several days without relief
  • Radiates into the arms or down the spine
  • Is accompanied by headache, numbness, weakness or tingling

At Chiro One, we don’t believe anyone should have to live with pain. If neck pain is disrupting your life, chiropractic care from Chiro One can help. Learn more about how we diagnose pain, and what to expect at your first chiropractic appointments.

3 Tips for Preventing Neck Pain

Good posture can go a long way toward preventing pain. Here’s what to know about protecting your posture:

When standing and sitting, be sure your shoulders are stacked over your hips, with your ears directly over your shoulders. When using a cell phone or other device, keep your head up and hold it at eye level rather than bending your neck to look down.

If you travel long distances or work long hours at your computer, get up, move around, and stretch your neck and shoulders.

Adjust your desk, chair, and computer so that your monitor is at eye level, or slightly above. Your knees should be slightly lower than hips; be sure to use your chair’s armrests – so long as they don’t elevate your shoulders.

Smoking can increase the risk of developing neck pain.

The weight of carrying a heavy bag over your shoulder can strain your neck.

When sleeping, your head and neck should be aligned with your body. Try sleeping with a small pillow under your head, on your back, your thighs slightly elevated on a pillow, if needed.

Regular exercise can help prevent pain. 

“Amazing doctor, amazing staff...I've had chronic neck and shoulder pain for years. The adjustments and therapies have made me feel great from day one. 11/10.”

– Joseph G.

Find Relief with Help from Chiro One

Chiro One’s gentle chiropractic care delivers strong patient outcomes with exceptional levels of patient satisfaction. Here’s how Chiro One’s non-surgical, drug-free approach effectively treats the leading causes of neck pain: 

Icon - Checklist

Thorough Upfront Evaluations

To assess your physical health, understand your daily routine and goals

Icon - Receiving Adjustments

Gentle Chiropractic Adjustments

To relieve pain and improve joint mobility and function

Icon - Performing Therapies

In-Clinic Therapies

To help you build strength, improve your range of motion, flexibility and balance, anddevelop muscle memory for longer lasting results

98.5% Patient Satisfaction

Chiropractic Evaluation

  • Diagnostic Exam
  • Consultation
  • Personalized Care Plan Recommendation

Read more about

Neck Pain & Chiropractic Care  

Get tips, insights and information from Chiro One's own doctors